
예바치과교정과치과의원 12월
혜택받기
분납 + 교정 시작 비용 할인
인비절라인 교정
브라켓 교정
교정 후 유지관리
상담 · 예약 · 비용
심미성 강화
적은 방문횟수
구강관리 용이
빠른 상담신청
WHAT
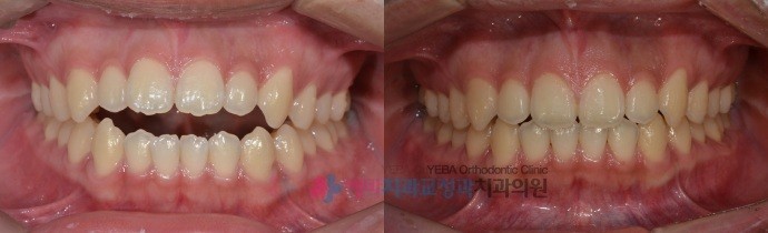
돌출입이란?
앞니나 잇몸이 정상보다 돌출되어 편하게 입술을 다물지 못할 뿐 아니라
퉁명스러운 인상을 만들어 외모 콤플렉스까지 가질 수 있습니다.
돌출입 교정은 치아와 잇몸을 넣어서 부드럽고 세련된 인상으로 만들어주며
자연스럽고 예쁜 입매 및 턱 선이 갸름해지는 효과가 있어 만족도가 높은 교정입니다.
편안함
콧대
턱 라인
예쁜 미소
CHECK POINT
CHECK 1 예쁜 미소바른이치과는 돌출입 교정 시 필요한 경우 발치를 권유합니다.
CHECK 2 정확한 정밀진단을 바탕으로 고객님과 함께 상의하여 발치, 비발치교정을 시행하게 됩니다.